Search

Traditional Chinese Medicine (TCM) helps patients with multiple sclerosis maintain their cognitive function

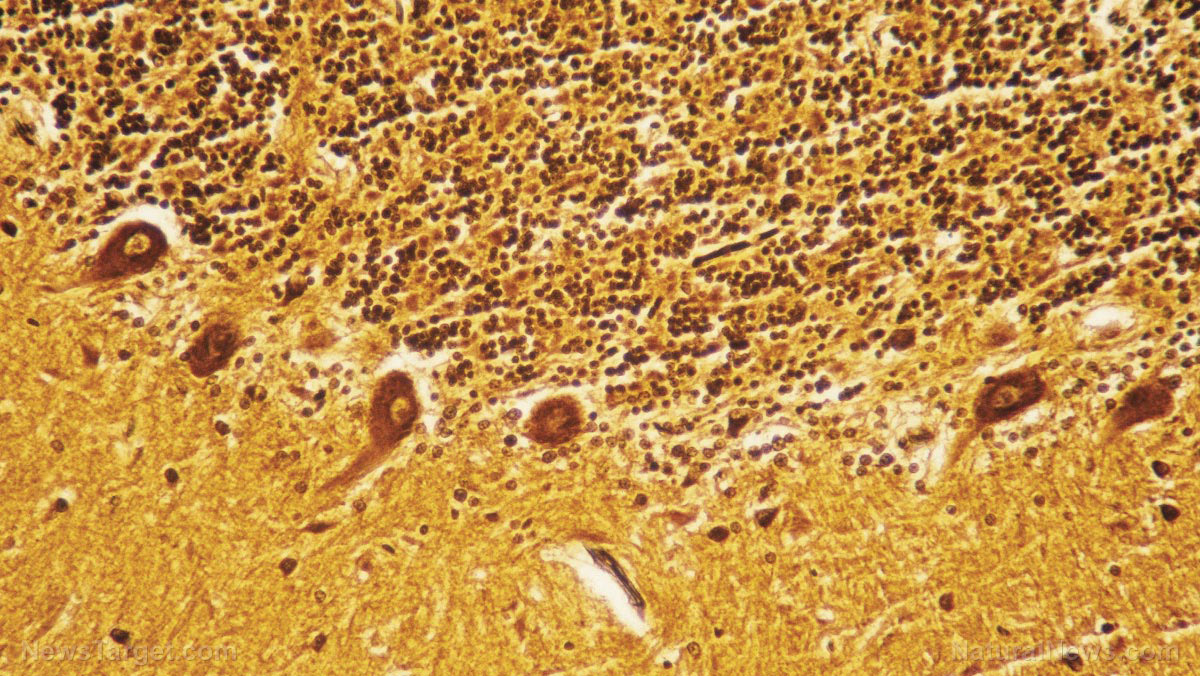
(Natural News) Rehmannia (Radix rehmanniae) is a staple of traditional Chinese medicine. This medicinal herb contains many beneficial compounds such as catalpol, which can protect against brain diseases. A recent study showed that the catalpol extract from Rehmannia could preserve the cognitive capabilities of people afflicted with multiple sclerosis. Multiple sclerosis inflames cerebral tissue, breaks...

Traditional Chinese Medicine (TCM) helps patients with multiple sclerosis maintain their cognitive function
Continue Reading


Bagikan Berita Ini

0 Response to "Traditional Chinese Medicine (TCM) helps patients with multiple sclerosis maintain their cognitive function"

Post a Comment

Blogger news

Powered by Blogger.